- HE染色切片着色浅:多维度解析与对策
- 东极生物带你深入探索免疫荧光检测技术
- 探索PAS染色的艺术:关键技巧与安全实践
- 载体构建(vectorconstruction)
- 定点突变
- 甲基化检测
- SNP,单核苷酸多态性( Single Nucleotide Polymorphism,SNP )
- circRNAs(Circular RNAs,环状RNA)解决方案
- 细胞自噬(autophagy or autophagocytosis)
- 蛋白质印迹法(免疫印迹试验)Western Blot
- 细胞系STR鉴定
- 实时荧光定量PCR实验
联系人:胡先生
手机:18052091425
电话:18052091425
邮箱:fuwu@jhtqm.com
地址:江苏省南京市六合区王桥路59号六合科创中心D座5F
番红固绿染色
产品详情
番红-固绿染色
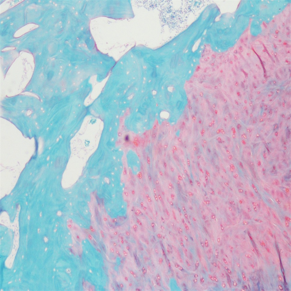
番红-固绿染色(软骨)在涉及关节软骨及软骨下骨的形态学研究中,常需联合使用多种染料以显示其组织学结构。其中,起源于上世纪60年代的番红O(safranin O)-固绿(fast green)染色因可以直观反映关节软骨、软骨下骨和骨组织的结构而备受青睐。软骨呈红色,成骨呈绿色。
技术原理
番红-固绿(软骨)染色法的染色原理在于嗜碱性的软骨和碱性染料番红O结合呈现红色,嗜酸性的骨和酸性染料固绿结合而成绿色或者蓝色,与呈现红色的软骨对比鲜明,从而将软骨组织和骨组织区分开。番红O是一种结合多阴离子的阳离子染料,其显示软骨组织是基于阳离子染料与多糖中阴离子基团(硫酸软骨素或硫酸角质素)结合。番红O着色与阴离子的浓度近似成正比关系,间接反映基质中蛋白多糖的含量和分布。当软骨收到损伤时,软骨中的糖蛋白会释放出来,使基质成分分布不均匀,从而导致番红O淡染或不着色。通过图像分析软件可以对番红O染色的软骨基质进行定量分析。固绿与胶原纤维结合,不宜褪色。
实验步骤

实验结果展示:

<番红固绿-骨>
注意事项
1、注意固绿的上色程度,番红不要掩盖绿色。
2、切片分化时间应恰当,以背景呈绿色为宜。分化过度容易导致切片不着色,分化不足容易导致切片着色过深。
送样运输要求:
1、植物样本置于20倍样本体积的FAA固定液中固定24h以上,常温运输送样。
2、切勿冷冻结冰。












