医学科研服务Product Catalogues
- HE染色切片着色浅:多维度解析与对策
- 东极生物带你深入探索免疫荧光检测技术
- 探索PAS染色的艺术:关键技巧与安全实践
- 载体构建(vectorconstruction)
- 定点突变
- 甲基化检测
- SNP,单核苷酸多态性( Single Nucleotide Polymorphism,SNP )
- circRNAs(Circular RNAs,环状RNA)解决方案
- 细胞自噬(autophagy or autophagocytosis)
- 蛋白质印迹法(免疫印迹试验)Western Blot
- 细胞系STR鉴定
- 实时荧光定量PCR实验
联系人:胡先生
手机:18052091425
电话:18052091425
邮箱:fuwu@jhtqm.com
地址:江苏省南京市六合区王桥路59号六合科创中心D座5F
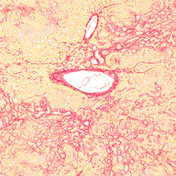
天狼猩红染色
天狼猩红染色
产品详情
技术原理
天狼猩红和KWS都是强酸性染料,易与胶原分子中的碱性基团结合,吸附牢固。偏振光镜检查,胶原纤维有正的单轴双折射光的属性,与KWS-天狼猩红结合,可增强双折射,提高分辨率,从而区分两型胶原纤维。未脱钙骨组织切片经天狼猩红染色后,普通光学显微镜下,胶原纤维呈红色或鲜红色,其他呈黄色;在偏振光显微镜下,Ⅰ型胶原纤维呈强橙黄色或亮红色,Ⅲ型胶原纤维呈绿色。
实验流程

实验结果展示:

<天狼星红-肝>
送检与交付标准
1.样本放置于20倍样本体积的固定液中固定24h以上,常温运输送样。切勿固定时间过长,切勿冷冻结冰。
2.石蜡切片常温运输,冰冻切片-20℃运输。
相关产品












